
- This event has passed.
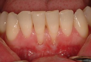
Gingival Recession Demystified
July 28, 2016 @ 5:30 pm - 7:30 pm
FreeGingival Recession Demystified
Sponsored by Clear Lake Periodontics
Presented by Dr. Robert Devoll
Course Summary:
During this informative presentation we will discuss the factors that every clinician needs to consider when evaluating gingival recession – including.
- What causes it
- How it progresses
- Contributing factors
- Genetic influences
- Cellular mechanisms involved
- When is it really a problem
- Can it be stopped
- Treatment options
- What is attached gingiva and does it really matter
